奥に引っ込んでいた右上の歯(写真左)を矯正専門医で正常な位置(術前写真上)まで治してもらったのですが、8㎜のポケットが出来てしまい、術前のCT像(術前写真下)でも表側にほとんど骨がないことが確認できます。
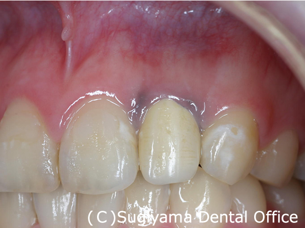
歯周治療再生療法後、歯ぐきの位置も変わることなく(術後写真上)、術後2年後のCT像(術後写真下)ではしっかりとした骨が出来上がっていることが確認できます。
歯周治療再生療法後、歯ぐきの位置も変わることなく(術後写真上)、術後2年後のCT像(術後写真下)ではしっかりとした骨が出来上がっていることが確認できます。











